Diamond Dental Clinic
4,8 рейтинг на Google
86 відгуків
Понад 100 посмішок за 4 роки

Композитні вініри в Рівному – швидке перетворення усмішки за один візит

Скол, пляма на емалі, проміжок між зубами або нерівна форма – все це можна виправити за 1,5–2 години без обточування зубів. Без зліпків. Без повторних візитів.

  • Виправляємо форму, колір і сколи без препарування емалі
  • Результат – одразу на кріслі, в той самий день
  • Матеріал підбирається індивідуально під колір ваших зубів

Отримайте індивідуальний план – пройдіть тест на 5 питань. Підберемо, чи підходять вам композити.

Композитні вініри в Рівному
Сучик Вікторія Олександрівна
терапевт стоматології Diamond Dental Clinic
Бонус за тест

Пройдіть тест і отримайте індивідуальний план – підберемо, чи підходять вам композити

Кілька запитань – підберемо варіант (композит чи кераміка) та зорієнтуємо по вартості.

Питання 1 з 5 20%

Що вас найбільше турбує у вашій усмішці?

Коли композит – це правильний вибір, а не «дешевший варіант»

Є ситуації, коли композит – оптимальне рішення, навіть якщо бюджет дозволяє кераміку. Вікторія чесно скаже про це на консультації.

Без обточування

Композитний вінір не вимагає знімати шар емалі. Лікар просто наносить матеріал поверх зуба й моделює форму вручну. Зуб залишається незайманим.

Один візит

Від початку до фінального полірування – 1,5–2 години в кріслі. Ви виходите з клініки вже з результатом.

Ідеальний для 1–2 зубів

Якщо потрібно виправити скол, приховати пляму або закрити невеликий проміжок – композит вирішує задачу точніше та без зайвих втручань.

Легко оновити

Композит можна відполірувати, підфарбувати або замінити в будь-який момент – без шкоди для зуба.

Вікторія Сучик

Вікторія Сучик – естетична реставрація вручну

Художня реставрація – це не просто заповнення дефекту. Вікторія Олександрівна підбирає колір, відтінок і прозорість композиту індивідуально: щоб новий зуб виглядав як рідний, а не як «вставка».

Кожна деталь – форма ріжучого краю, мікрорельєф поверхні, перехід кольору – моделюється вручну просто під час процедури.

«Я дивлюся не тільки на зуб, а на всю усмішку. Навіть маленький скол на бічному різці може порушувати гармонію. Мета – щоб після роботи ви самі забули, якого саме зуба торкалися.»
  • Вікторія Олександрівна Сучик
  • Терапія та естетична реставрація
  • Власниця клініки, контролює кожен естетичний результат

Композит чи кераміка: чесне порівняння

Параметр Композитний вінір Керамічний вінір
Ціна 5 000 ₴/зуб 9 500 ₴/зуб
Кількість візитів 1 2–3
Обточування зубів Не потрібне Мінімальне (0,2–0,3 мм)
Термін служби 5–7 років 15+ років
Ідеально для 1–3 зубів, точкових корекцій Повного перетворення усмішки
Можна замінити керамікою Так, у будь-який момент

На консультації Вікторія Олександрівна оцінить вашу ситуацію і скаже, який варіант вирішить задачу – без переплати і без недоліків.

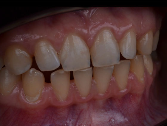
Реальні результати: до та після

До Після

Кейс 1 – Корекція форми та сколу

Виправлено асиметрію ріжучих країв і скол на центральному різці. Матеріал підібраний під натуральний колір зубів.

До Після

Кейс 2 – Закриття діастеми

Закрито проміжок між центральними зубами без обточування та без брекетів. Один візит – 1,5 години.

Як проходить процедура

Крок 1. Консультація та діагностика

Оцінюємо стан емалі, визначаємо задачу, підбираємо колір матеріалу. Вартість консультації – 500 ₴ (або 800 ₴ з КТ та фотопротоколом, якщо потрібна детальна стратегія).

Крок 2. Підготовка поверхні

Легке протравлення емалі для зчеплення. Без бормашини, без болю, без анестезії – у більшості випадків.

Крок 3. Моделювання та полірування

Лікар наносить і формує матеріал вручну, поетапно. Після засвічення – ретельне полірування до природного блиску.

Крок 4. Оцінка результату

Видивитись у дзеркало, перевіряйте форму, колір, анатомію зубчика, чи все подобається. При необхідності – правки одразу.

Відгуки на незалежному порталі Google Карти

Рейтинг 4.8
(89 відгуків)
Лишити відгук у Google

Часті питання про композитні вініри

Зробіть перший крок – це простіше, ніж здається

Не потрібно заздалегідь знати, що саме вам потрібно. Пройдіть тест – і ми підкажемо реалістичний варіант під вашу ситуацію та бюджет.

4,8 рейтинг · 89 відгуків на Google · Відповідь протягом 10 хвилин

Контакти та карта

Diamond Dental Clinic, Рівне

Адреса: м. Рівне, вул. Соборна, 68 (бос)

Прокласти маршрут

Графік: Пн–Пт 09:00–20:00 • Сб 10:00–16:00 • Нд – вихідний

Пройти тест та отримати план